目の病気

高血圧について

ポイント

  • 高血圧で眼底出血を引き起こすことがあります。
  • 眼底検査により高血圧の程度がわかることがあります。
  • 症状は出血がない場合症状はなく、眼底出血が生じると、視力障害を起こすことがあります。

 人は加齢や内科疾患(糖尿病や高脂血症など)などにより、古くなったホースが硬くなったり詰まったりするのと同じように、動脈硬化を起こします。動脈硬化が強くなると、血管が硬く内径が細くなってしまうので、血液の流れが悪くなり、血圧が高くなります。このような状態を高血圧と称し、心臓も高い圧力で血液を送らなければならないため、負担がかかります。この他にも塩分の摂り過ぎにより体内に水が溜まることや、喫煙も血管を収縮させるため高血圧の原因になります。

 高血圧を放置しておくと、心臓のみならず、各臓器に負担がかかり、状況によれば血管が詰まったり、破れて出血したりします。このことが頭に起これば脳梗塞、心臓に起これば心筋梗塞となり、眼科においては眼底出血などで視力障害を起こすことがあります。

 高血圧の程度を調べるのに眼底検査というものがあり、眼底血管は直に診察することができ、全身の血管の状態を反映するため、内科の先生におかれましても治療の参考(高血圧の眼底分類としてScheie分類、最近では Wong-Mitcheal分類が有名)とされています。例を挙げて説明させて頂きますと、

・現在、内科的に程度の強い高血圧であるが、眼底検査で高血圧性変化、動脈硬化性変化が弱い場合 ⇒ 最近もしくは一時的に血圧が上がったことが推測され、血圧コントロールがきちんとできれば、合併症は起こり難いと考えることができる。

・現在、内科的には高血圧の程度はあまり強くないが、眼底検査で高血圧性変化、動脈硬化性変化が強い場合 ⇒ 高血圧の罹病期間が長い、他の病気を合併している可能性が推測され、血圧コントロールをきちんと行っても、合併症は起こり得ると考えることができる。

 高血圧眼底は、出血などがなければ眼科的には経過観察になりますが、下のような病気が生じれば、視力予後が悪くても(視力改善が望めなくても)、治療を行う必要があります。

 代表的な例をあげますと、

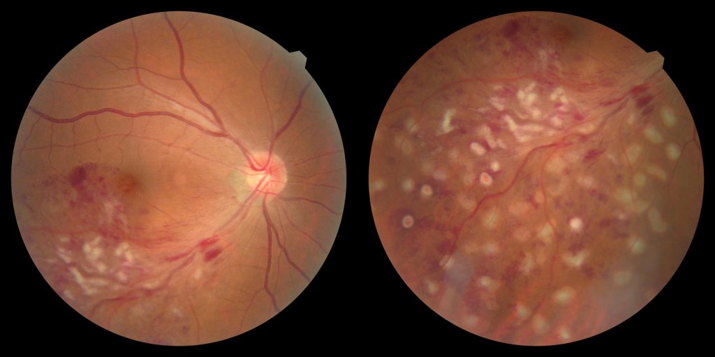
網膜静脈閉塞症
眼底血管は動脈と静脈が交叉して接触している所があります。動脈硬化が強くなると、交叉している静脈の血流が塞き止められ、静脈が破けて眼底出血をおこします。物を見るのに重要な中心窩に出血が現われると、視力低下を起こします。中心窩に出血が無ければ視力低下が起こらない場合もありますが、症状がなくとも治療が必要になります。



網膜動脈閉塞症
動脈壁は丈夫なため、血管が詰まることで破けて出血を起こすことはないですが、血管閉塞領域の網膜は血液が流れないため著しい障害をうけます。この疾患も稀に中心窩の血流が維持され、視力障害を免れることもありますが、一般的に視力予後は悪いです。

糖尿病もそうですが、高血圧も眼科に影響をおよぼすことがあることを少しでも皆様方に御理解いただければ幸いです。

当院の患者様

(右)網膜静脈分枝閉塞症のOCT所見
左眼の黄斑部は出血もなく正常であるが、右眼は出血し黄斑部に浮腫が出ています。
2週間後、所見が更に悪化したため、虚血を改善するために網膜光凝固を行いました。(白い瘢痕が光凝固の跡)

koketsuatsu01

koketsuatsu02